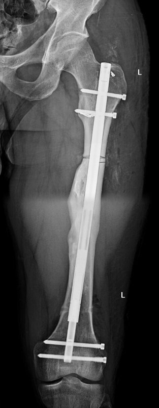
Bravurní výkon provedli lékaři z Kliniky úrazové chirurgie Fakultní nemocnice Brno. Pacientovi, který měl po úraze tříštivou zlomeninu stehenní kosti, čímž došlo k jejímu zkrácení o 3,5 cm, nyní provedli operační zákrok, který povede k prodloužení kosti tak, aby nekulhal a mohl se běžně pohybovat.
V rámci Fakultní nemocnice Brno se jedná o raritní operaci a jednu z mála, která se provádí v České republice. Hlavním operatérem byl vedoucí lékař Kliniky úrazové chirurgie a zástupce přednosty pro školství MUDr. Milan Krtička, Ph.D.
Rozhovor s MUDr. Milanem Krtičkou, Ph.D., z Kliniky úrazové chirurgiee FN Brno si můžete přečíst zde:
Pavel Žára
Centrum komunikace
Fakultní nemocnice Brno
tel. +420 532 232 193
e-mail:

