Na letošním kongresu ESGAR 2016 konaném v Praze zazněla velmi výjimečná přednáška lékařky Radiologické kliniky FN Brno MUDr. Moniky Staňkové. Ne nadarmo byla její prezentace vybrána mezi dvacet nejlepších. ESGAR organizovaný prof. MUDr. Vlastimilem Válkem, CSc., MBA, byl zaměřený na gastrointestinální trakt a zúčastnilo se ho 1 450 radiologů z 55 zemí světa.
Jaké hlavní téma zaznělo ve Vaší přednášce na ESGAR 2016?
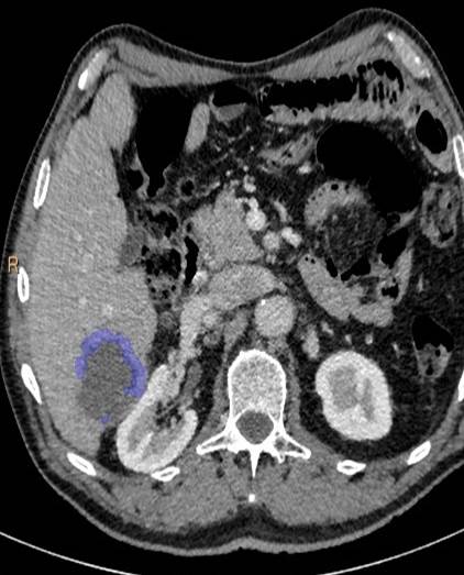
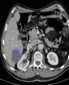
Věnuji se především hodnocení odpovědi na léčbu u hepatocelulárního karcinomu, konkrétně volumetriím po transarteriálních chemoembolizacích. Tato metoda umožňuje zobrazit nádory ve 3D a vypočítat jejich objem, což se jeví přesnější než současné standardní měření v jedné ose. V našem výzkumu se také toto hodnocení ukázalo být jediným faktorem korelace s přežíváním pacientů, což by mohlo ovlivnit jejich léčbu.
Proč jste se na ni zaměřila?
Moderní metody terapie jako transarteriální chemoembolizace jsou již i u nás velmi rozšířené. Na našem pracovišti bylo mezi lety 2010 a 2015 provedeno 606 těchto výkonů. Nejedná se však o levnou metodu léčby, proto je důležité stanovit, kteří pacienti z ní mohou opravdu profitovat. Volumetrie se zdá být jedním z ukazatelů účinnosti léčby, tudíž se jedná o velmi slibnou, ač zatím pouze experimentální metodu hodnocení.
Naopak co pro Vás bylo přínosné od ostatních lékařů?
Pro mě jako začínajícího lékaře toho bylo opravdu velice hodně. Ať už se jednalo o výukové přednášky nebo zajímavé případy z praxe. Na těchto kongresech je skvělé podělit se o zkušenosti ze všech koutů světa, otevřít si trochu jiné obzory. V každé zemi jsou zvyklí na pokaždé jiné postupy a protokoly, mají i jiné spektrum pacientů. Proto se člověk dozví vždy spoustu zajímavých věcí. ESGAR mě rozhodně posunul dál.
Jaké jsou novinky ve Vašem oboru?
Novinky na nás čekají především ve světě techniky. Nové přístroje umožňují vyšetřovat přesněji, nastavit nové typy sekvencí a moderní post-processing nabízí okamžité vyhodnocení mnoha parametrů. Dnes je možné provádět celou řadu vyšetření i virtuálně nebo fúzovat dva různé typy vyšetření a tak zpřesnit diagnostický proces.

