V úterý 11. září 2012 byl na Ortopedické klinice FN Brno unikátní metodou operován v pořadí již pátý dětský pacient se skoliózou páteře. Unikátní operační technika vyvinutá vědecko-výzkumným týmem KSpine z Minnetonky v USA, byla v rámci mezinárodní studie vyzkoušena pouze ve čtyřech spondylochirurgických centrech na světě. Brno bylo jedno z nich!
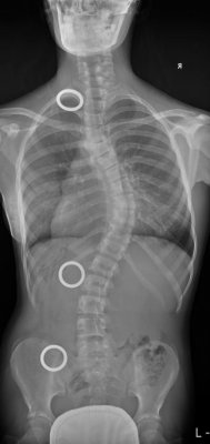
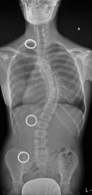
Příčina vzniku skoliózy - zakřivení páteře do strany s porušením všech rovin páteře - není doposud zcela objasněna. Tradiční operační metody napravení zakřivení páteře dospívajících dětí (mezi 11. - 16. rokem) vyžadují při operační nápravě následný pevný kostěnný srůst obratlů v celé délce deformity bez možnosti pooperačního normálního pohybu obratlů a bez možnosti jejich dalšího přirozeného růstu.
Nová metoda umožňuje nejen téměř dokonalé napravení deformity, ale současně zajišťuje i další přirozený růst obratlů a nabízí i unikátní techniku udržení pohyblivosti operované páteře. Nový typ instrumentace přináší maximální šetrnost ke tkáním operovaného dítěte a lepší výsledný kosmetický efekt. Velmi významným faktorem je i výrazné zvýšení bezpečnosti samotné operace, která vyžaduje méně implantovaného kovového materiálu.
Celkově nová metoda zajišťuje nápravu dětských skoliotických zakřivení páteře s výsledkem výrazně se blížícím neoperované rovné páteři.
Nová metoda operačního řešení dětských skolióz zajišťuje:
- vysokou účinnost napravení zakřivení
- růst páteře
- pohyb páteře
- 3D (trojdimenzionální) napravení zakřivení
- šetrnost k operovaným tkáním
- lepší výsledný kosmetický efekt
- bezpečnost operace
V následujícím období je plánováno odoperovat na Ortopedické klinice FN Brno touto novou metodou další dva až tři dětské pacienty. Poté bude probíhat zhruba roční analýza operačních výsledků. Zavedení nové metody do běžné operační praxe lze očekávat na konci roku 2013.
Zavedením této nové metody se toto pracoviště zařadilo mezi světová centra, která pomáhají nahlédnout i do blízké budoucnosti moderní, šetrné a výrazně zlepšené operační nápravy dětských skoliotických zakřivení páteře.
Ortopedická klinika FN Brno je špičkovým spondylochirurgickým pracovištěm, které poskytuje komplexní péči o deformity páteře již 35 let. V rámci České republiky je na tomto pracovišti operačně řešeno zhruba 70% všech dětských deformit páteře.

