V rámci společného projektu FN u sv. Anny a FN Brno bylo vyšetřeno 150 mužů pro potíže s erekcí. Téměř u každého druhé z nich bylo zjištěno vysoké riziko srdečně-cévní či mozkové příhody. Právě tato onemocnění jsou v České republice na prvním místě v příčině úmrtí.
Vysoký krevní tlak, cukrovka nebo zvýšená hladina cholesterolu trápí české muže již ve středním věku. Vliv má genetická dispozice, ale důležitou roli hraje i špatná životospráva, obezita, kouření a nedostatek pohybu. S prodlužující se délkou života se prodlužuje i období aktivního sexuálního života.
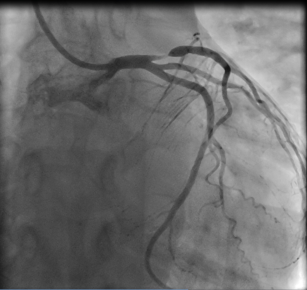
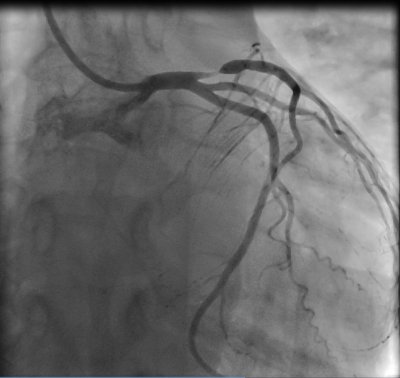
Mužská erekce je barometrem zdraví, porucha erekce je často prvním projevem závažného onemocnění, nejčastěji srdečně-cévního. Porucha mužské erekce může být důsledkem srdečně-cévního onemocnění a může až o 3 – 5 let předcházet srdeční infarkt či mozkovou mrtvici. Mladší muži od 35 do 50 let, kteří trpí středně těžkou nebo těžkou poruchou erekce, by z tohoto důvodu měli být vždy vyšetření s cílem vyloučit závažné onemocnění srdce a cév, zejména ischemickou chorobu srdeční.
Ve srovnání se zeměmi severní, západní a jižní Evropy máme vysoký počet nemocných s vysokým krevním tlakem, zvýšenou hladinou cholesterolu, v populaci narůstá počet obézních a jedinců trpících cukrovkou. Tyto rizikové faktory včetně kouření, fyzické inaktivity a sedavého způsobu života představují riziko pro rozvoj aterosklerózy, která je společným jmenovatelem ischemické choroby srdeční i poruchy erekce, erektilní dysfunkce.
V rámci detekce kardiovaskulárních onemocnění jsme vyšetřili 150 mužů přicházejících pro potíže s erekcí v průměrném věku 54 let (26-84 let). Šest z 10 nemocných trpělo hypertenzí, každý pátý byl diabetik, 63% mělo zvýšenou hladinu cholesterolu, 35% bylo obézních, každý čtvrtý byl kuřák.Vysoké riziko (> 5 %) možné fatální srdečně-cévní či mozkové příhody v následujících 10 letech jsme nalezli u 41 % mužů souboru. Významným vedlejším nálezem byla velmi nízká trénovanost a tolerance tělesné zátěže u českých mužů, kterou jsme zjistili při bicyklové ergometrii.
Odhalením onemocnění srdce a cév a jejich léčbou, současně zkvalitněním erekce pomocí moderních léků dosáhneme nejen zvýšení kvality života nemocného, ale pravděpodobně i jeho prodloužení. Doporučujeme zvýšení pohybové aktivity, redukci váhy, zanechání kouření a změnu nezdravých stravovacích návyků (rytmus i složení stravy, snížení její kalorické hodnoty). Nezbytná je dobrá spolupráce při léčbě hypertenze, cukrovky, či zvýšené hladiny cholesterolu. Při potížích s dosažením nebo udržením erekce je důležité včas vyhledat lékaře-sexuologa, urologa nebo i praktického lékaře.

