/12. 12. 2022/ 12. prosinec je celosvětově vyhlášený jako Den polykání, cílem kampaně je zvýšit povědomí o normálním polykání a jeho poruchách. Zdravý člověk polkne 500 - 700x denně. Jde o samozřejmou činnost, jejíž důležitost nám nemusí být zřejmá, pokud vše probíhá bez potíží. Jako dysfagii obecně označujeme poruchu transportu polknutého sousta z dutiny ústní do žaludku. Rizikové z hlediska dysfagie je zejména dítě s přítomností kongenitální strukturální vady (kraniofaciální deformity, strukturální patologie v oblasti aerodigestivních cest), syndromová postižení a děti s onkologickým a/nebo neurologickým onemocněním. Také dezorganizace cyklu sání – dýchání – polykání, neprospívání a poruchy vitálních funkcí při jídle, averzní reakce při jídle, neúměrně dlouhé krmení, intolerance určitých struktur stravy a nerozvíjení kousání by mělo vést k dysfagiologickému vyšetření. U všech věkových skupin je v neposlední řadě důležité pátrat po klinických známkách možných aspirací při jídle (kašel, vlhké fenomény v hlase nebo dechu, chronické zahlenění, recidivující infekty dýchacích cest).
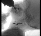
Dítě s podezřením na dysfagii vyšetřujeme v rámci Kliniky dětské otorinolaryngologie FN Brno v poradně pro poruchy polykání. V základním dysfagiologickém týmu je otorinolaryngolog a klinický logoped. Poskytujeme kompletní screening a klinické vyšetření dysfagie, včetně vizualizace polykacího procesu endoskopicky (FEES) a/nebo radiologickou metodou (VFSS) a nastavíme dítěti terapii. Platforma superspecializované péče na půdě fakultní nemocnice je ideálním místem k poskytovávání komplexní péče o děti s dysfagií. Zásadní je spolupráce s dalšími obory, zejména pediatrií, gastroenterologií, neurologií, fyzioterapií, chirurgií a radiologií.
V rámci Světového dne poruch polykání považujeme za důležité zvýšit povědomí o poruchách polykání u dětí tak, aby bylo dítě včas odesláno k vyšetření. Cílem diagnostických a terapeutických opatření je udržet nebo obnovit adekvátní fyziologický perorální příjem pacienta bez rizika aspirace do dýchacích cest. A pokud toto není nožné, pak zajistit non-orální nutrici dítěte se stejným cílem. Naším úkolem je zajistit dostatečnou nutrici a kvalitu života bez zhoršování celkového stavu a přidružených onemocnění dítěte.
PORADNA PRO PORUCHY POLYKÁNÍ: MUDr. Jana Jančíková, Mgr. Denisa Bezděková Fakultní nemocnice Brno, pracoviště medicíny dětského věku, Černopolní 9, Brno.
Kontakt: 532 234 220, 532 234 443

